Skip to main content
Skip to main navigation menu
Skip to site footer
Open Menu
Current
Archives
Announcements
Submissions
About
About the Journal
Editorial Team
Abstracting and Indexing
Author Guidelines
Privacy Statement
Editorial Policies
Peer Review Process
Data Sharing Policy
Policies on Conflict of Interest, Human and Animal rights, and Informed Consent
Advertising Policy
Corrections, Expressions of Concern and Retractions
Contact
Search
Register
Login
Home
/
Archives
/
Vol. 20 No. 1 (2026)
Vol. 20 No. 1 (2026)
Published:
2026-01-30
Neuroradiology
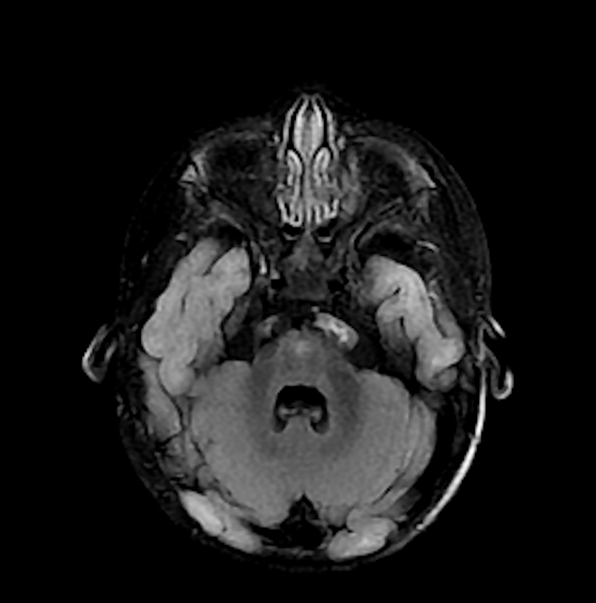
Unilateral Moyamoya Disease in an Adolescent Female of Non-Asian Descent: A Case Report
Aaron Peterson, BS, Trinity Puno, BS, Joshua Levy, MD, Angus Cheng, DO, Jabre Millon, MD, Tim Stone, MD, Isaac Wang, DO, Rajpaul Gill, MD, Millie Pal, DO, Kyle Mefferd, PhD, Denise Vidal , MPH, Angelina Rodriguez, MD, Upinder Singh, MD
1-7
PDF
Long-Term Outcomes of Conservative Management for Pyogenic Myelitis
Fahad Badr Albadr, MD, Renad Mohammed Alotibi, Abdullah Abdulaziz Albakri, Nourah Rsheed Alrsheed, Lama Akram Alanazi
1-9
PDF
Leukoencephalopathy From SDHAF1-Related Mitochondrial Deficiency
Paul Bellissimo, Clara Nemr, Samantha Newman, Asna Tauseef, Talha Allam
1-9
PDF
Musculoskeletal Radiology
Utilizing Clinical Examination in Conjunction with Magnetic Resonance Cartilage Studies for Post-Operative Evaluation of Cartilage Repair: A Case Report
Stefanie Hui Ting Lee, Cynthia Assimta Peter, Steven Bak Siew Wong, Adriel Guang Wei Goh
1-10
PDF
Interventional Radiology
Minimally Invasive Management of Orbital Lymphangioma with Sclerotherapy: A Case Report
Eppy Buchori Aristiady K, Hilman Syawaluddin, Dian Komala Dewi, Aldo Dimitri Daiva, Angga Kartiwa, Anne Susanty
1-11
PDF
Miscellaneous
Early CT Diagnosis of Strangulated Obturator Hernia in a 93-Year-Old Woman Followed by Laparoscopic TAPP Repair: Case Report
Minh Duc Pham, Thanh Xuan Nguyen, Duc Anh Le, Duc Phu Tran, Huu Son Nguyen
1-8
PDF
Information
For Readers
For Authors
For Librarians
Side
Key Features
Open access
Free submission
Double-blinded peer-review
International authors, reviewers and editors
Unique interactive case reports and pictorial review articles
Indexed in
Google Scholar
,
Scopus
, Embase, ESCI-Web of Science etc.
Affiliation with and article promotion by the largest international Radiology community
Radiolopolis
Announcements
Developed By
Open Journal Systems